This site uses tracking information. Visit our privacy policy. Click to agree to this policy and not see this again.

Ophthalmology and Visual Sciences

Exposed Gore-Tex Suture With Inferotemporal Lens Dislocation

Exposed Gore-Tex Suture With Inferotemporal Lens Dislocation

Category(ies): Cataract, Lens
Contributor: Caitlin M. Hackl MD, Patrick J. Donegan MD, Ryan J. Diel MD

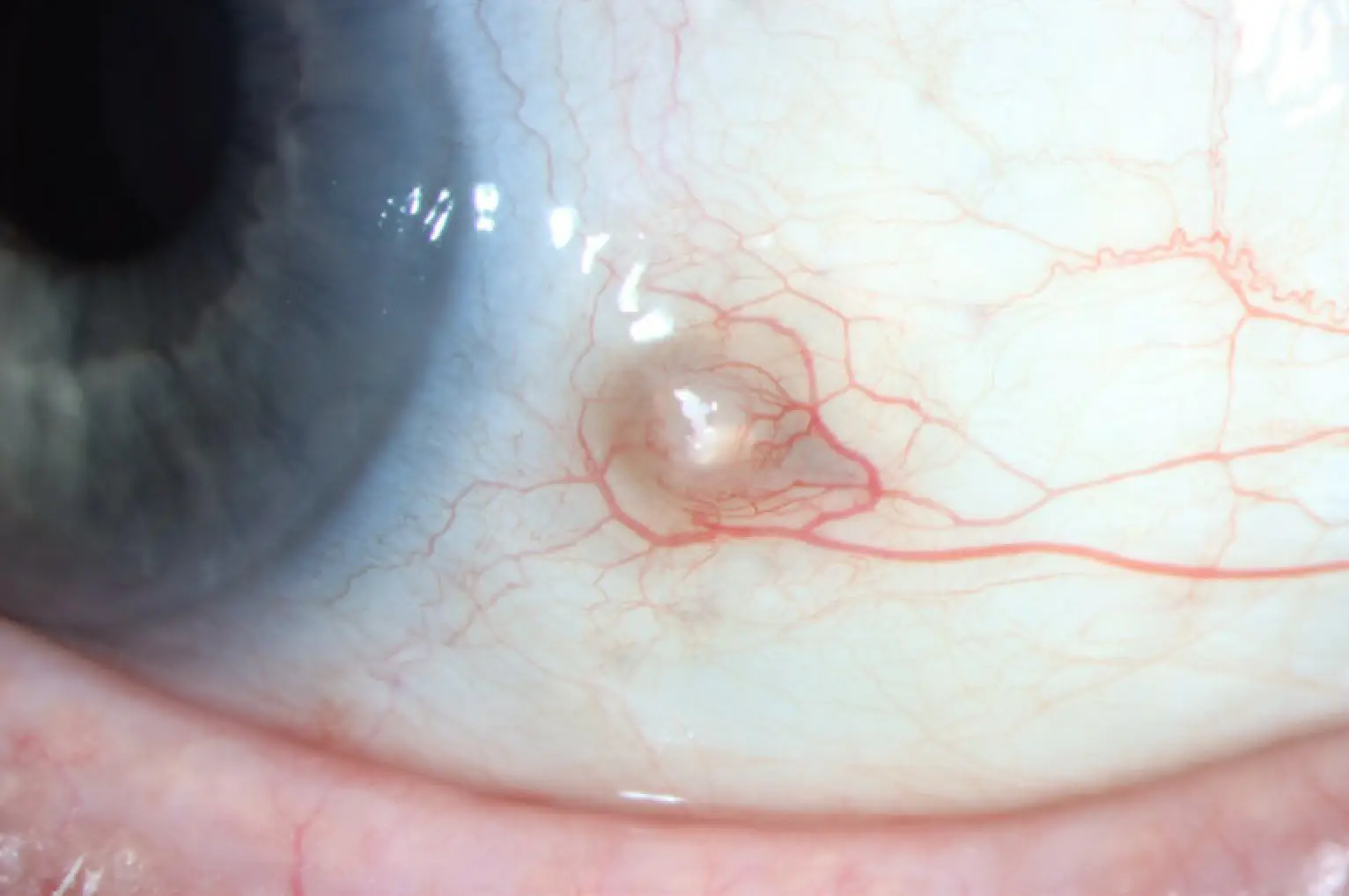
A monocular patient presented after an outside provider identified inferotemporal exposure of a Gore-Tex suture in the left eye. Ocular history is significant for pars plana vitrectomy for vitreous hemorrhage in the left eye, prior IOL repositioning with Gore-Tex lasso fixation, and subsequent scleral patch graft. The fellow eye has a history of retinal detachment repair with vitrectomy and scleral buckle, complicated by a dense central disciform scar and vision of CF at 3 feet. On examination, the scleral-fixated intraocular lens is dislocated inferotemporally in the direction of the exposed suture, and the patient reports seeing the lens edge. The sclera underlying the area of suture exposure appears thin, with concern for chronic inflammation.

Inferotemporal lens dislocation with exposed Gore-Tex suture
Inferotemporal lens dislocation with exposed Gore-Tex suture
Exposed Gore-Tex suture
Exposed Gore-Tex suture
Exposed Gore-Tex suture
Exposed Gore-Tex suture